Erleben Sie die Selbstbestimmung Ihrer Zahnversorgung
Als Patient haben Sie das Recht, das Dentallabor für Ihre Zahntechnik selbst auszuwählen. Diese Entscheidungsfreiheit ermöglicht es Ihnen, aktiv darüber zu bestimmen, welches Labor die zahntechnischen Arbeiten im Rahmen Ihrer Behandlung durchführt. Ihre individuellen Bedürfnisse und Vorlieben stehen dabei im Mittelpunkt. Diese Möglichkeit, das Dentallabor selbst zu bestimmen, gewährleistet nicht nur eine maß- geschneiderte Zahntechnik, sondern auch die Berücksichtigung Ihrer persönlichen Wünsche bei der Auswahl.
Ihre Selbstbestimmung ist unser Antrieb. Wir stehen bereit, Sie
bei der Umsetzung Ihres Rechts zu unterstützen.
Gestalten Sie Ihr strahlendes Lächeln mit
Wir sind seit 20 Jahren Ihr verlässlicher Partner für erstklassige Zahntechnik aus Köln. Gerne können Sie unseren Fragebogen nutzen und uns Ihre Wünsche, für Ihren Zahnersatz mitteilen. Wir melden uns anschließend bei Ihnen, um alles Weitere zu besprechen.
“Ich bin mega zufrieden mit dem Service und kann euch das nur ans Herz legen!
Mein Zahnarzt arbeitet mit dem Dental Atelier Colonia zusammen. Der Techniker war super kompetent,
hat alles ausführlich erklärt und meine Kronen sind sehr schön geworden. So wie wir es besprochen haben.
Kann endlich wieder lächeln :)„
Silan A.
Ihr Partner für hochwertigen
Zahnersatz in Köln und Umgebung
Seit 2001 gestalten wir im Dental Atelier Colonia die Welt der Zahntechnik in Köln, Bonn, Düsseldorf, Leverkusen und den umliegenden Regionen. Im Jahr 2023 haben wir unter der Leitung von Roda Ates einen Neustart vollzogen. Unser motiviertes Team besteht aus Technikern, Auszubildenden und Fahrern: jeder Experte mit individuellen Spezialisierungen für höchste Qualität.
Sie als Patient haben die Gewissheit, dass unser Team stets auf dem neuesten Stand bleibt und sich kontinuierlich in ihrem Fachgebiet verbessert. Ihre individuellen Bedürfnisse stehen im Mittelpunkt unseres Engagements, um Ihnen die bestmögliche zahntechnische Betreuung zu bieten.
Mit wertvoller Erfahrung setzen wir auf kontinuierliche Weiterbildung, um innovative und qualitativ hochwertige Lösungen für Ihre Bedürfnisse anzubieten. Im Dental Atelier Colonia vereinen wir Tradition und Fortschritt, um erstklassige zahntechnische Dienstleistungen zu bieten. Bei uns gehen Engagement und Fachwissen Hand in Hand.
Unsere maßgeschneiderten zahntechnischen
Lösungen für höchsten Komfort & Ästhetik
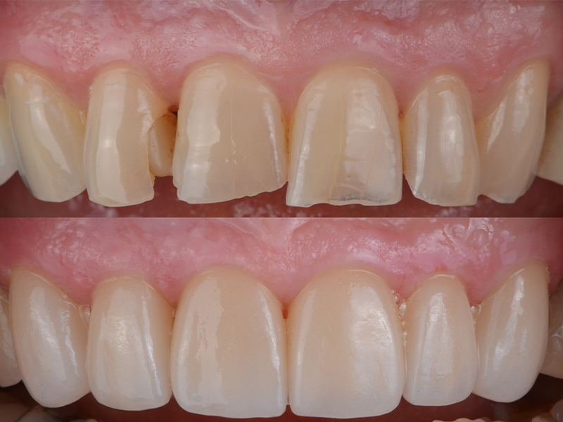
Unsere zahntechnischen Leistungen zielen darauf ab, Ihr Lächeln zu verbessern und Ihnen höchsten Komfort zu bieten. Wir stellen speziell angefertigte Kronen aus Vollkeramik her, die perfekt in Ihr Gebiss passen. Die Teleskoptechnik bietet verschiedene Materialoptionen wie Gold, Gold reduziert, NEM, Zirkon/Galvano oder komplett metallfrei für optimalen Zahnersatz. Komplett metallfrei stellt eine besonders umweltfreundliche Alternative dar.
In Bezug auf Prothetik bieten wir Lösungen für totale Prothesen und flexible Prothesen an. Totale Prothesen ersetzen vollständig fehlende Zähne, während flexible Prothesen sich anpassen und natürliche Bewegungen ermöglichen.
Unsere Expertise erstreckt sich auf individuelle Prothetik für Implantate und präzise Implantatplanung, um natürliche Zahnfunktionen wiederherzustellen. Ästhetisch ansprechende Ergebnisse erzielen wir durch monolithische Zirkonkronen, die aus einem Stück Zirkonoxid gefertigt sind und optimale Haltbarkeit bieten. Inlays und Veneers vervollständigen unsere Dienstleistungen mit präzisen Einlagen und Verkleidungen zur Verschönerung und Stärkung Ihrer Zähne.
Vom Experten beraten lassen
Ihre Meinung ist uns wichtig
Um unseren Service stetig zu verbessern, sind wir auf Ihre Unterstützung angewiesen. Wir freuen uns sehr über Ihre Bewertung und Ihr Feedback.



